

A tudomány fejlődése mára teljesen felülírta a fogászatról alkotott fogalmainkat.
A gyógyítás és egészségmegőrzés mellett utat tört magának az esztétikai fogászat, a mosolytervezés.
A fogaink alakításában precizitásra több szempontból is nagy szükség van, hiszen ha nem olyan lesz mosolyunk, mint vártuk, akkor az esetleges korrekció az elkészült fogpótlás javítását vagy esetleges újra készítését eredményezi, ami nem csak időigényes, de költséges is. A Smile Design szoftver segítségével ezek a technikai hibák kiküszöbölhetőek, ugyanis a fej legoptimálisabb helyzetében készít felvételt. Egy-egy kiálló szemfog, bedőlő metszőfog vagy foghiány bizony elég zavaró tud lenni és kellően alávetheti az önbizalmat. Lehet, hogy egy fogfehérítés javít a fogsor megjelenésén, azonban nem lesz képes sorba rendezni a fogakat. Kisebb korrigálások vagy nagyobb beavatkozások során is a cél az, hogy visszaadjuk az eredeti fogsor szépségét és javítsunk esztétikáján. Korábban azonban csak leírásokat lehetett adni arról, hogy hogyan is fog kinézni a végeredmény, amelyet a páciens csak annak elkészültekor láthatott teljes egészében. Napjainkra ez már merőben megváltozott, hiszen még a kezelések megkezdése előtt megtervezhető a leendő új mosoly. A páciens által végül elfogadott mosolytervezés után kifejezetten ehhez készül majd a kezelési terv, hogy pontosan úgy nézzen majd ki a fogsor, mint ahogy meg lett álmodva.


Páciensünk, és a számítógépes programmal tervezett szofosztikált elnevezésű új mosolya.
A Smile Design (mosolytervezés) Amerikából, illetve Olaszországból indult nagy ívű nemzetközi útjára. Lényege a páciens karakteréhez, személyiségéhez legharmonikusabban illő mosoly, fogszín, fogalak megtervezése és kialakítása.A Smile Design mosolytervező szoftver kiemelkedik a sorból, korábbi társaihoz képest új és professzionális módon képes akár egy 3D-s mosoly precíz megtervezésére.
A mosolytervezéssel megtaláljuk Önnek azt a legkifejezőbb mosolytípust, amely összhangban van a személyiségével.
A túl karakteres formákat lágyítjuk, a jellegtelen mosolyt karakteresebbé tesszük.
A mosolytervezés során figyelembe vesszük a kort, a nemet, a fogak elhelyezkedését, színét, bizonyos szögeket, az ajak íveltségét, a fogak állását és nem utolsó sorban az arc valamint az íny harmóniáját.
Minden esetben segítünk meghozni a megfelelő döntést, hogy ragyogó mosollyal távozhasson fogászati rendelőnkből. Ha többször eljátszott már a gondolattal, hogy milyen érzés lehet hibátlan fogakkal élni, de nem mert belevágni, mert nem látta előre a végeredményt, akkor itt a megoldás: mielőtt bármilyen kezelést végeznénk a fogakon megmutatjuk, hogy milyen lesz, ha elkészült. A mosolytervezés folyamatának elejétől a végéig a fogászati tervezethez tartjuk magunkat, hogy pontosan az a kép mosolyogjon vissza a tükörből, mint amilyet a digitális technikával létrehoztunk és megmutattunk.


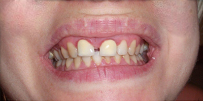
Előtte és utána fotók a páciensünk helyreállított fogsorairól.
A mosolytervezés egy olyan páciensközpontú fogászati tervezés, amely a legújabb esztétikai irányelveket képviseli.
Célja az arc, a teljes fogazat és a mosoly közti tökéletes harmónia megteremtése a legmodernebb technikák és beavatkozások alkalmazásával, mégpedig minden páciens esetében egyénre szabottan.
Az egyedülálló mosolytervezés során a kezelés arcra gyakorolt hatását, a várható eredményt számítógépes szimuláció segítségével jelenítjük meg a beavatkozás megkezdése előtt.
Hatalmas előny az esztétikai fogászati kezelések esetében, ha az eredmény előre tervezhető és igény esetén módosítható. A fejlett fogászati szoftver csak olyan opcionális mosolyokat készít el, amelyek fogorvosi szempontból is kivitelezhetők, hogy pontosan ugyanazt az eredményt kapjuk. A mosolytervezés árak tartalmazzák az összes lépést, fotót és felvételt, amelyek egytől egyig precízen személyre szabottak. Természetesen szép fogsor kialakítására törekszünk, amelyről senki meg nem mondaná, hogy nem eredetileg ilyen szabályosak.
Mindemellett nem csak a fogesztétikán segíthet, ha mosolytervezést végzünk, hanem komolyabb problémára is megoldást nyújthat, mint az állkapocsfájdalom. A harapási rendellenességek ízületi kopást eredményezhetnek, ami krónikus fájdalom formájában jelentkezik. Ilyenkor nem elég a tüneteket kezelni, hanem a fájdalmat kiváltó okot kell feltárni és teljeskörű kezelésnek kell alávetni a fogakat, az arcizmokat és az állkapocs-ízületet.


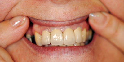
Előtte és utána fotók a páciensünk helyreállított fogsorairól.
A mosolytervezés során mindig a teljes mosolyt, a teljes fogazatot kívánjuk harmonizálni a teljesség igényével, a lehető legkisebb beavatkozások árán.
Törekszünk az eredeti mosoly harmonikus helyreállítására, illetve annak harmonizációjára a személyiség és arckarakter figyelembe vételével.
Mivel mindenki eltérő igényekkel érkezik, így elengedhetetlen, hogy mi is egyénileg alakítsuk ki a páciens számára legoptimálisabb megoldást. Ez lehet egy rendelői fogfehérítés a legvakítóbb fogszínért vagy a régebbi időkből hátramaradt tömések korszerű, fehér tömésre való cseréje. Ezen felül egy idejében elvégzett fogkőeltávolítás is csodákat tehet, de előfordulhat, hogy egyeseknek fogszabályzóra lesz szüksége álmai mosolyának eléréséhez. A fogszabályzást is könnyebb vállalni úgy, hogy előre látható milyenek lesznek a fogak, ha lekerül a szerkezet.
A kopott fogszélek helyreállítása éppúgy lehetséges, mint a fogrések vagy a torlódott fogak megszüntetése. Azonnali korrigálható hibák – mint a foghézagok vagy zománchibák – esetén foghéj felhelyezésével lehet javítani a fogak megjelenésén.
Ezek a foghéjak kifejezetten az esztétikai fogászat éllovasai, nagyon vékonyak és sokszor alkalmazzák őket a fogszín javítására is. Többféle foghéj létezik, mint a direkt héj, ami tömőanyagból épül fel és a fogakon speciálisan rétegezve építik fel. A letört fogak kiválóan korrigálhatók vele, nem kell további foganyagot feláldozni. Kerámia héjakat jó szájhigiéné mellett lehet feltetetni, azonban ehhez a fog külsejéből le kell csiszolni.
A komolyabb beavatkozások esetén is kifejezetten ajánlott mosolytervezést végeztetni, hiszen a fogászati hidak, koronák és implantátumok jelentősen tudják formálni a fogívet, de még az arc megjelenésén is változtathatnak. A mosolytervezés árak lent olvashatóak, a kivitelezési díjak pontosan az eltérő igények miatt eltérőek lehetnek, hiszen mindenkinek másra van szüksége. A lehetőségek tárháza szinte végtelen, ahogyan a korszerűen fejlődő megoldásoké is. Az egységes, fehér fogak nemcsak esztétikusak, de ápoltabbnak tűnnek és messzemenő önbizalmat sugároznak.


Ki ne szeretne szép, szimmetrikus és fehér fogakat?